富士フイルムと名古屋市立大学CT画像上で脳脊髄液腔の各領域を抽出するAI技術を共同開発 ハキム病(特発性正常圧水頭症:iNPH)の診断精度向上に期待
富士フイルム株式会社(本社:東京都港区、代表取締役社長・CEO:後藤 禎一)と公立大学法人名古屋市立大学(所在地:愛知県名古屋市瑞穂区、理事長:郡 健二郎)は、頭部CT画像上で脳脊髄液腔の各領域を抽出するAI技術(注1)を共同で開発しました。本技術は、富士フイルムと名古屋市立大学が2024年3月に開発発表した、MRI画像上で脳脊髄液腔の各領域を抽出するAI技術を発展させたもので、CT画像上での領域抽出も可能にします。本技術により、「治療で改善できる認知症」と言われ早期発見が重要なハキム病(特発性正常圧水頭症:iNPH)(注2)の診断精度向上が期待できます。本技術は、富士フイルムのクラウド型AI技術開発支援サービス「SYNAPSE Creative Space(シナプス クリエイティブ スペース)」を活用して開発されたAI技術です。今後、富士フイルムは、本技術を搭載した製品の早期市場導入を目指します。
ハキム病は、脳に水(脳脊髄液)が溜まって脳を圧迫し、歩行障害、認知障害、切迫性尿失禁などの症状があらわれる高齢者に多い病気です。進行性の病気で、症状が重くなると日常生活に介護が必要となります。脳内の脳脊髄液を排除することにより症状を改善できますが、症状が進行してから治療を受けても、介助不要な自立した生活を取り戻すことは難しいため、早期発見・早期治療が重要です。またハキム病は、同様の症状が生じる脳委縮との判別が難しいことから、発見が遅れてしまうことがあります。脳萎縮とハキム病を判別するには、くも膜下腔の不均衡分布(DESH)(注3)を発見することが重要ですが、DESHは医師の主観で評価されているため、医師によって判定が異なることが課題でした。
今回、富士フイルムと名古屋市立大学は、富士フイルムの「SYNAPSE Creative Space」を用いて、頭部CT画像上でDESHに関係する脳脊髄液腔の各領域(高位円蓋部・正中のくも膜下腔、シルビウス裂・脳底槽、脳室)を抽出するAI技術を開発しました。昨年MRI向けに開発した技術を、MRI検査と比べて検査時間が短いことなどから医療現場で広く普及しているCT検査向けに発展させたものです。本技術は、頭部CT画像上でDESHに関係する各領域のアノテーション作業を効率的に行い作成したデータをAIに学習させて開発したもので、CT画像上で脳脊髄液腔の各領域を抽出できます。さらに、領域ごとの体積や領域間の体積比を算出することにより、脳萎縮とハキム病の判別に重要な画像所見であるDESHの判定に大きく寄与し、ハキム病の診断精度向上につながることが期待できます。
本技術により、転倒などで頭部を打撲して病院を受診した患者が頭部CT検査を受けた際、医師はそのCT画像から打撲による影響だけでなくDESHの兆候も合わせて見つけることができるなど、ハキム病の早期発見につながる可能性が高まります。
ハキム病は、脳に水(脳脊髄液)が溜まって脳を圧迫し、歩行障害、認知障害、切迫性尿失禁などの症状があらわれる高齢者に多い病気です。進行性の病気で、症状が重くなると日常生活に介護が必要となります。脳内の脳脊髄液を排除することにより症状を改善できますが、症状が進行してから治療を受けても、介助不要な自立した生活を取り戻すことは難しいため、早期発見・早期治療が重要です。またハキム病は、同様の症状が生じる脳委縮との判別が難しいことから、発見が遅れてしまうことがあります。脳萎縮とハキム病を判別するには、くも膜下腔の不均衡分布(DESH)(注3)を発見することが重要ですが、DESHは医師の主観で評価されているため、医師によって判定が異なることが課題でした。
今回、富士フイルムと名古屋市立大学は、富士フイルムの「SYNAPSE Creative Space」を用いて、頭部CT画像上でDESHに関係する脳脊髄液腔の各領域(高位円蓋部・正中のくも膜下腔、シルビウス裂・脳底槽、脳室)を抽出するAI技術を開発しました。昨年MRI向けに開発した技術を、MRI検査と比べて検査時間が短いことなどから医療現場で広く普及しているCT検査向けに発展させたものです。本技術は、頭部CT画像上でDESHに関係する各領域のアノテーション作業を効率的に行い作成したデータをAIに学習させて開発したもので、CT画像上で脳脊髄液腔の各領域を抽出できます。さらに、領域ごとの体積や領域間の体積比を算出することにより、脳萎縮とハキム病の判別に重要な画像所見であるDESHの判定に大きく寄与し、ハキム病の診断精度向上につながることが期待できます。
本技術により、転倒などで頭部を打撲して病院を受診した患者が頭部CT検査を受けた際、医師はそのCT画像から打撲による影響だけでなくDESHの兆候も合わせて見つけることができるなど、ハキム病の早期発見につながる可能性が高まります。

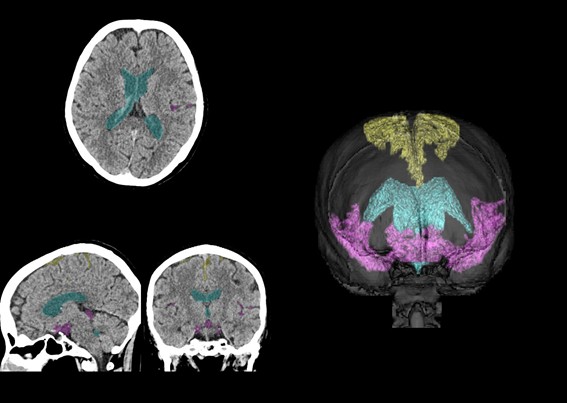
<CT画像上で本技術を用いて脳脊髄液腔の各領域を抽出した例>
高位円蓋部・正中のくも膜下腔、脳室、シルビウス裂・脳底槽を領域ごとに検出することで、体積比の算出が可能となり、ハキム病の診断に重要なDESHの判定を支援する。
黄色:高位円蓋部・正中のくも膜下腔、水色:脳室、赤紫色:シルビウス裂・脳底槽
富士フイルムと名古屋市立大学は、今後も「SYNAPSE Creative Space」を用いた画像診断支援AI技術の開発を進め、医療の質の向上と人々の健康の維持増進に貢献していきます。
<クラウド型AI技術開発支援サービス「SYNAPSE Creative Space」>
富士フイルムが開発した、医療機関や研究機関における画像診断支援AI技術の開発を支援するサービスです。プロジェクト管理、アノテーション、学習、AI技術の試行など、一連の開発プロセスをすべてクラウド上で行うことができます。医用画像向けに特化した複数の学習モデルを利用することができるため、プログラミングなどの専門知識がなくても医師や研究者が自身で画像診断支援AI技術を開発することが可能(注4)。希少疾患を始めとした様々な疾病を対象とした画像診断支援AI技術の開発促進を目指し、国内の医療機関でのトライアルを経て、2024年4月より提供開始しています。
富士フイルムが開発した、医療機関や研究機関における画像診断支援AI技術の開発を支援するサービスです。プロジェクト管理、アノテーション、学習、AI技術の試行など、一連の開発プロセスをすべてクラウド上で行うことができます。医用画像向けに特化した複数の学習モデルを利用することができるため、プログラミングなどの専門知識がなくても医師や研究者が自身で画像診断支援AI技術を開発することが可能(注4)。希少疾患を始めとした様々な疾病を対象とした画像診断支援AI技術の開発促進を目指し、国内の医療機関でのトライアルを経て、2024年4月より提供開始しています。
注
(注1) AI(人工知能)技術のひとつであるディープラーニングを設計に用いた。
(注2) ハキム病(特発性正常圧水頭症:iNPH):歩行障害や認知障害、切迫性尿失禁などをもたらす疾患で、くも膜下出血や髄膜炎などに続発する二次性正常圧水頭症と異なり、先行する原因疾患はなく、緩徐に発症して徐々に進行する。iNPHはidiopathic Normal Pressure Hydrocephalusの略。
(注3) くも膜下腔の不均衡分布(DESH):シルビウス裂・脳底槽の拡大と、高位円蓋部・正中の脳溝の狭小化を同時に示す画像所見。DESHはDisproportionately Enlarged Subarachnoid-space Hydrocephalusの略。
(注4) 「SYNAPSE Creative Space」が提供する学習モデルを利用して開発する場合に限る。学習モデル自体を新たに設計する場合、プログラミングなどの知識が必要。
(注2) ハキム病(特発性正常圧水頭症:iNPH):歩行障害や認知障害、切迫性尿失禁などをもたらす疾患で、くも膜下出血や髄膜炎などに続発する二次性正常圧水頭症と異なり、先行する原因疾患はなく、緩徐に発症して徐々に進行する。iNPHはidiopathic Normal Pressure Hydrocephalusの略。
(注3) くも膜下腔の不均衡分布(DESH):シルビウス裂・脳底槽の拡大と、高位円蓋部・正中の脳溝の狭小化を同時に示す画像所見。DESHはDisproportionately Enlarged Subarachnoid-space Hydrocephalusの略。
(注4) 「SYNAPSE Creative Space」が提供する学習モデルを利用して開発する場合に限る。学習モデル自体を新たに設計する場合、プログラミングなどの知識が必要。